A young woman with long hair, smiling at the camera, wearing a light blue top, sitting in an indoor setting with blurred background.

Smile Gallery

The image shows a close-up of a mouth with yellowed teeth, gum inflammation, and an unhealthy appearance, which suggests poor dental hygiene or health issues.

Before

The image displays a close-up view of a person s mouth with teeth, showing an upper and lower set of dentures with visible wear and staining, against a background that seems to be clinical or medical due to the presence of blue gloves and a medical mask.

After

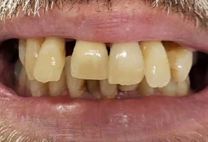
The image depicts a person with an open mouth showing teeth, likely from a dental examination or procedure.

Before

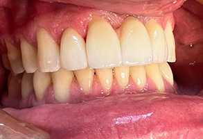
The image shows a close-up of a person s mouth with teeth that have been whitened, likely through cosmetic dental procedures.

After

The image shows a close-up of a person s mouth with severely decayed teeth, exhibiting discoloration and damage, against a background that appears to be a webpage.

Before

The image shows a close-up of a person with a mustache smiling at the camera, displaying a set of teeth with one tooth missing.

After

The image features a close-up of a person s open mouth displaying gold teeth, with an additional text overlay on the right side showing a person s hand holding a toothpick with gold studs in their mouth.

Before

The image shows a close-up of a person s smiling face with a focus on their teeth, which appear yellowed or discolored.

After

The image shows a close-up of a person s mouth with teeth and lips visible, against a background that appears to be a blurred photograph of a man with facial hair.

Before

The image features a close-up view of an individual s teeth with a blue surgical drape over their nose, showcasing a smile with a full set of yellowed teeth and a mustache.

After

Schedule a visit today!
Contact Us
SMS Consent
Submit

Thank You!

We appreciate you taking the time to visit our site. We'll review your message and be in touch with you soon.

Continue
The image captures a serene coastal scene at sunset, featuring a lighthouse on a rocky shore with calm waters and a clear sky.